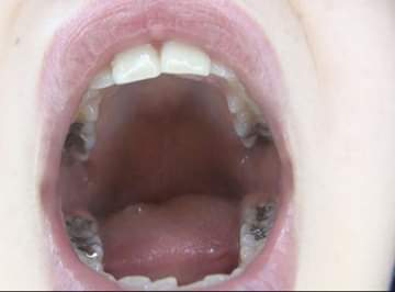
100人のおくち 第9集